Logo dentiste Strasbourg centre Christian VALLE

Reconstruire les dents

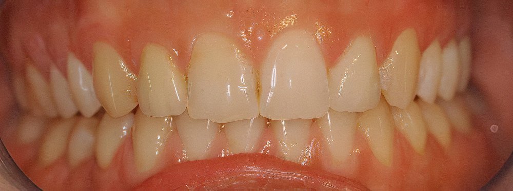
Restaurations dentaires

Nous pouvons réparer et remplacer les dents et les racines

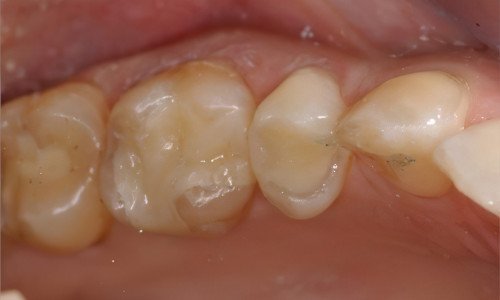
Restauration par inlay 

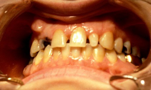
Obturations par amalgame de mercure argent et carie

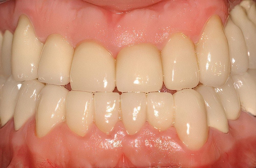
Retrouver un beau sourire Strasbourg restauration inlay

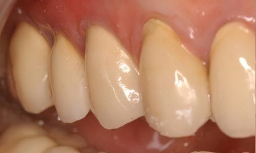
 Inlay en composite

Retrouver un beau sourire Strasbourg restauration inlay

 Inlay en or

Restauration par composite

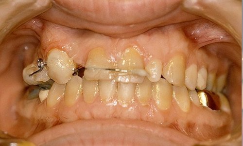
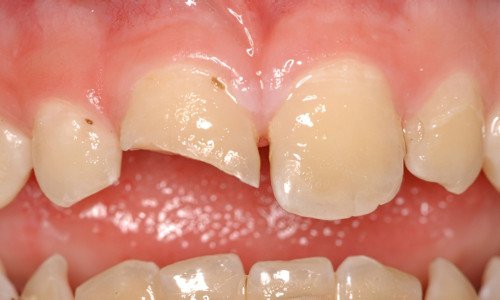
Fracture accidentelle

Reconstruire les dents Strasbourg Composite anterieur avant tr

Composte antérieur avant traitement

Reconstruire les dents Strasbourg Composite anterieure apres tr

Composte antérieur avant traitement

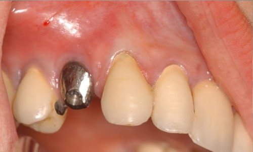
Racine artificielle implant dentaire

Reconstruire les dents implant dentaire Strasbourg

⓵ La racine fracturée est enlevée

Reconstruire les dents implant dentaire Strasbourg

⓶ Un implant est vissé dans le même trou

Reconstruire les dents iStrasbourg mplant dentaire

⓷ Pilier après cicatrisation

Reconstruire les dents iStrasbourg mplant dentaire

⓸ Une nouvelle couronne est scellée sur le pilier

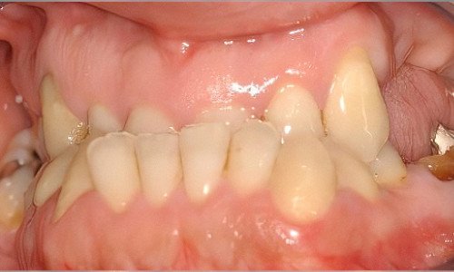
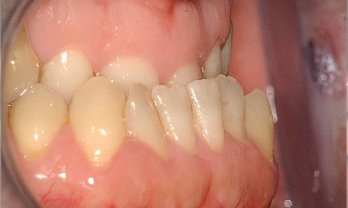
L'orthodontie adulte

Orthodontie relativement discrète pour faire redescendre une canine incluse.

Avant de restaurer les dents il faut parfois les aligner pour avoir un beau résultat.

orthodontie adulte Strasbourg Retrouver un beau sourire
Retrouver un beau sourire Strasbourg orthodontie adulte
Retrouver un beau sourire orthodontie adulte Strasbourg
Retrouver un beau sourire Strasbourg orthodontie adulte

Correction articulé

Retrouver un beau sourire Strasbourg Correction articule

inversion de l’articulé

Retrouver un beau sourire Strasbourg Correction-articule

Il est possible de corriger certains problèmes de position de dent par des couronnes

Retrouver un beau sourire Strasbourg Correction articule

Il est possible de corriger certains problèmes de position de dent par des couronnes

Inverse, les plans de traitement

Les problèmes, leurs solutions, les techniques

* Les problèmes        les solutions

* Les doléances        les techniques

* Les souhaits

* Les rêves

solutions dentaires Strasbourg

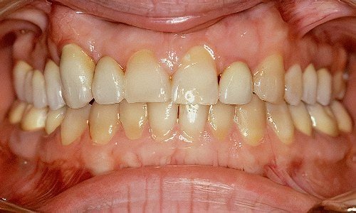
De belles dents naturelles ?

Retrouver un beau sourire Strasbourg Belles dents naturelles

Biocompatibilité Zircone

Adresse

30 rue du 22 novembre

67000 STRASBOURG

Tél : 03 88 22 28 11

Liens