Exemples de traitements
Dans cette rubrique
Exemples de traitements
Traitement des maladies parodontales
Il s’agit de traiter simultanément la cause (présence de parasites et de bactéries) et les conséquences (accumulation de tartre).
Les 4 phases du traitement

Grâce à l’analyse microbiologique, au bilan radiographique et à l’examen clinique, nous évaluerons le degré de votre maladie et établirons un plan de traitement adapté.

A l’aide d’antiseptiques et d’antibiotiques locaux ou généraux appropriés, nous éliminerons les parasites et bactéries pathogènes.
Cette phase s’étalera sur plusieurs mois et sera ponctuée de prélèvements microbiologiques mensuels permettant d’évaluer l’évolution de votre flore et d’adapter votre traitement.

Grâce à la lithotritie, nous supprimerons le tartre s’étant formé sur et sous votre gencive.
Cette technique permet l’élimination de calculs de tartre sans léser les tissus sains.
Cette phase pourra également s’étaler sur plusieurs mois et ne pourra débuter qu’après l’élimination totale des parasites et bactéries responsables de votre maladie.

Certains facteurs locaux pouvant retarder voire empêcher le bon déroulement du traitement, il conviendra d’effectuer les soins dentaires appropriés (éliminer les restaurations défectueuses, reprise de traitement de canal, remplacement de prothèses mal ajustées, remplacement des dents absentes)
Un suivi régulier vous aidera à éviter la ré-infection.
Premier traitement : eau oxygénée.
Régime de maintenance sans sel.
Eau Oxygénée (Anti-plaque, anti-septique) **
Procurez vous l’au oxygénée sous forme de 3% (10 volumes).
Ajoutez 2 parties d’eau pour 1 partie d’eau oxygénée.
Faites cette dilution à chaque fois que vous utiliserez l’eau oxygénée.
Ne préparez pas de quantitées à l’avance. La force de l’eau oxygénée diminue avec le temps lorsque la bouteille a été ouverte. Aussi, procurez vous de petits contenants, que vous changerez régulièrement.
Jugez de son efficaité.
Continuez ce traitement jusqu’à ce que les germes cibles aient été éliminés.
Utilisez une brosse souple :
Il vaut mieux user votre brosse rapidement, plutôt que votre gencive !
Si vous avez un contrôle microscopique de prévu, brossez simplement avec de l’eau douce la veille de votre rendez-vous et ne brossez pas vos dents cette journée là : évitez fruits, jus de fruits et sel.
Régime de maintenance
Régime de maintenance avec sel.
⓵ Vous n’aurez pas besoin des choses suivantes :
Le dentifrice (il favorise la croissance des bactéries sur votre brosse)
⓶ Vous aurez besoin de ceci :
- Brosse à dent (changez la chaque semaine parce qu’elle devient infectée par les germes de la plaque dentaire).
- Bicarbonate de soude.
- Eau oxygénée 10 volumes **
- Petit contenant de verre ou de porcelaine.
- Eau et un lavabo.
⓷ Deux fois par jour (de préférence matin et soir après le repas)
- Mélangez l’eau oxygénée diluée ** avec l’eau dans un petit contenant de verre.
- Trempez votre brosse dans ce mélange et appliquez sur la gencive et les dents en utilisant la métode de brossage indiquée par votre dentiste.
- Rincez votre brosse sous l’eau courante et répétez ces étapes pour les dents du haut et du bas, l’intérieur et l’extérieur.
- Rincez vos dents avec la solution restante et rien d’autre.
⓸ Deux fois par jour (de préférence matin et soir après votre brossage).
- Juste après votre brossage avec le mélange eau oxygénée + eau.
- Avec un doigt légèrement mouillé, appliquez le bicarbonate de soude généreusement sur la ligne des gencives, en haut et en bas, à l’intérieur et à l’expérieur.
- Puis crachez l’excès.
- Gardez le résidu le plus longtemps possible (évitez de manger, de boire ou de rincer pendant une heure).
⓹ Après chaque autre repas et collation.
- Rincez votre bouche vigoureusement avec de l’eau ou un quelconque liquide non sucré que vous buvez.
- Utilisez le fil dentaire si nécessaire pour enlever les débris d’aliments.
En quoi va consister votre traitement ?
Maladie parodontale, gingivite et pyorrhée sont trois termes utilisés fréquemment pour décrire une inflammation de la gencive située à proximité de la racine des dents.
Une fine pellicule blanche appelée plaque dentaire se trouve dans cette région.
Celle-ci est aussi plus abondante s’il y a infection. La plaque dentaire cause alors une maladie de la gencive. Il peut y avoir au delà de 300 différents types de « germes » dans la plaque dentaire, mais seulement certains d’entre eux causent la maladie.
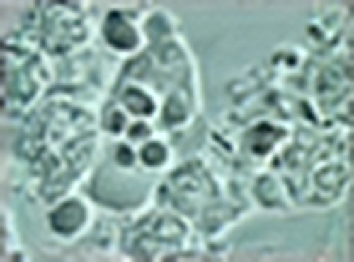
Le but d’un examen de la plaque est d’identifier les organismes cibles : plus spécifiquement deux types d’animaux unicellulaires (protozoaires) et certaines espèces de champignons (candidoses). Vous verrez des germes vivants, incluant des bactéries, sur l’écran de télévision attaché au microscope.
Une fois le diagnostic complété, des antibiotiques et des antiseptiques peuvent être prescrit pour éliminer ces organismes cibles afin d’obtenir une guérison naturelle. Afin d’activer cette guérison, votre dentiste aura à procéder à certains traitements (détartrage, polissage des dents, etc.,) au moment approprié. Un contrôle initial et l’élimination de l’infection minimise habituellement les traitements dentaires, diminue la sensibilité et procure un meilleur succès.
Dans le but d’obtenir un diagnostic clair, certains changements dans vos habitudes d’hygiène buccale seront requis afin d’éviter de faux résultats négatifs et aussi arrêter la progression d’une quelconque infection jusqu’à votre rendez-vous d’examen de la plaque.
Débarrassez vous de votre brosse à dent actuelle, elle est probablement infectée.
Votre dentifrice , qui contient probablement un agent édulcorant : le mannitol, aussi utilisé en laboratoire pour la culture de bactérie, devra aussi être jeté. Brossez vos dents deux fois par jour en utilisant une solution de 1% de peroxyde, à la place du dentifrice.
Le peroxyde est un antiseptique doux qui détruira certains germes de votre bouche.
Utilisez la poudre de Torrens une fois par jour. Elle aussi détruira quelques germes mais son but principal est de stimuler la gencive et de la raffermir.
Utilisez le fil dentaire et les brossettes interdentaires pour enlever les débris et particules entre vos dents.
N’utilisez pas de rince bouche commercial parce que certains d’entre eux contiennent des produits chimiques qui rendront l’examen de votre plaque dentaire plus difficile et moins précis.
Durant les 5 jours avant votre rendez-vous pour l’examen de la plaque dentaire, il est important que votre plaque soit stable. Aussi n’utilisez rien d’autre que votre brosse à dent et de l’eau pour nettoyer vos dents.
Essayez d’éviter la soie dentaire et les médicaments durant 5 jours avant votre rendez-vous. (Vérifiez avec votre médecin avant de changer ou d’arrêter vos médicaments). Vous ne devez pas avoir utilisé d’antibiotiques pour au mois 2 semaines avant votre examen.
Le jour de votre rendez-vous,
- ne brossez pas vos dents,
- ne passez pas la soie dentaire,
- n’utilisez aucun rince bouche,
- évitez les jus de fruits et les fruits citrins.
- Évitez aussi les noix salées, graines de tournesol, les menthes pour l’haleine ou la gomme à mâcher.
Vous pouvez rincer votre bouche avec de l’eau après le repas ou la collation pour enlever les débris d’aliments.
A l’heure du rendez-vous,
nous voulons que la plaque dentaire soit stable depuis 12 à 18 heures, sans contamination par les différents aliments.
Les médicaments tel que l’aspirine ou certains médicaments pour la grippe, etc., peuvent rendre cet organisme cible plus difficile à trouver.
Certains traitements dentaires récents peuvent aussi déranger la plaque et amener un faux résultat négatif.
Si des difficultés sont rencontrées afin de déterminer les organismes cibles, des tests additionnels ou rendez-vous supplémentaires peuvent être nécessaires.
Prenez quelques instants pour lire les recommandations concernant votre nouvelle routine d’hygiène buccale (Régime de maintenance).
Vous la trouverez probablement plus simple et aussi efficace que votre technique actuelle. Vous devriez ressentir que, somme toute, l’effet est aussi bon sinon meilleur que tout ce que vous avez déjà essayé.